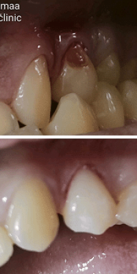
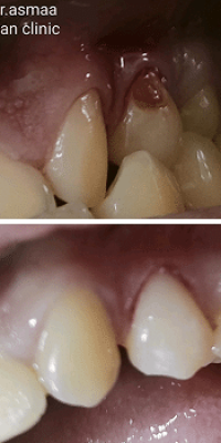
استعد لابتسامة صحية ونظيفة مع خدمة تنظيف جير الاسنان
داخل عيادتنا المتخصصة، حيث نقدم تنظيف وتلميع الاسنان بأحدث التقنيات لإزالة الجير والرواسب دون تبييض، والحفاظ على صحة اللثة وانتعاش ابتسامتك بثقة.
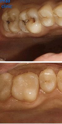
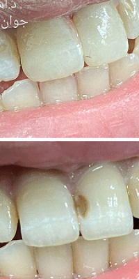
استعد لصحة فموية أفضل وابتسامة نضرة مع خدمة تنظيف جير الاسنان
ضمن برنامج الفحص الشامل في عيادة تنظيف الاسنان المتخصصة لدينا نستخدم أحدث التقنيات لإزالة تنظيف الاسنان من الجير والبقع المتراكمة بدقة وأمان دون الحاجة لتبييض، مما يمنح أسنانك مظهرًا نظيفًا ولمعانًا طبيعيًا تشمل الخدمة أيضًا تنظيف وتلميع الاسنان لإزالة الرواسب السطحية وتحسين صحة اللثة والأنسجة المحيطة، تحت إشراف أطباء مختصين يضمنون لك تجربة مريحة ونتائج تدوم طويلاً.











